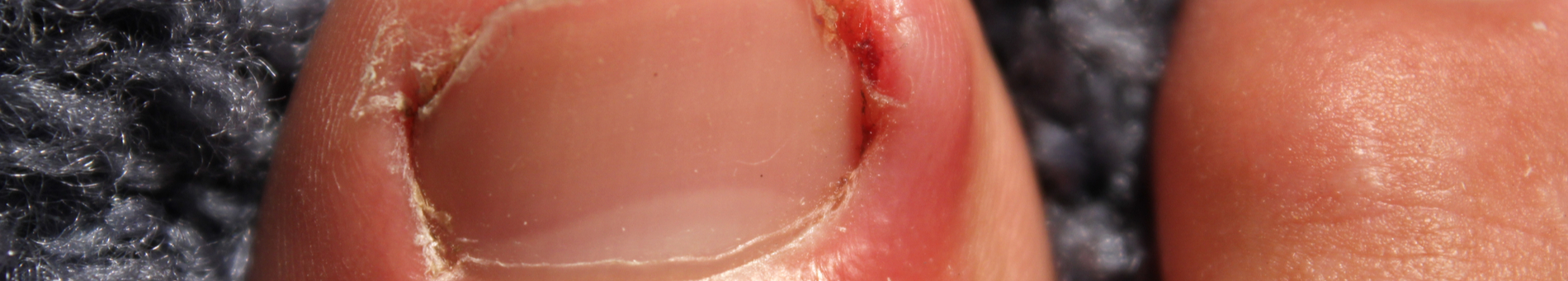
Wat is een ingegroeide teennagel?
Bij een ingegroeide teennagel is de rand van de nagel in de huid gegroeid, meestal aan de grote teen. Dit kan leiden tot irritatie, pijn en zelfs ontsteking van de huid. Door beschadiging van de huid kunnen bacteriën in de wond dringen en een infectie veroorzaken. Bij een aanhoudende ontsteking kan wild vlees en ettervorming ontstaan.
Met een goede voetverzorging kunnen klachten verlicht worden. Een podoloog kan daarbij helpen. Een ingegroeide nagel kan eventueel losgemaakt worden onder lokale verdoving of een ingegroeid nageldeel kan verwijderd worden.
Lees meer
Lees minder
Welke zijn de oorzaken?
Een ingegroeide teennagel kan verschillende oorzaken hebben:
- Te kort geknipte nagel.
- Weggeknipte nagelhoeken (rond afknippen in plaats van recht).
- Verwonding teen.
- Zweetvoeten.
- Schimmelnagels.
- Scheefstand van de teen.
- Afwijkende vorm nagel (bolle nagel).
- Te nauwe schoenen.
- Druk op tenen bij bepaalde sporten (voetbal, ballet).
Lees meer
Lees minder
Wanneer ga ik best naar de huisarts?
Ga meteen naar de arts met een ingegroeide teennagel. Hoe langer je wacht, hoe ernstiger de gevolgen kunnen zijn.
Indien je een ingegroeide nagel reeds heeft laten behandelen, neem je best contact op met je arts in volgende situaties:
- Infectie van de wonde. De teen ziet dan rood, is pijnlijk en wordt dik.
- Klachten keren na een tijdje weer terug.
Lees meer
Lees minder